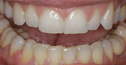
Das erwartet Sie im Webinar
Wir erklären Ihnen in 60 Minuten, wie Sie mit aesthetic liner® ab sofort Premium-Zahnkorrektur auf einem ganz neuen Niveau anbieten können. Sie lernen die kristallklaren Schienen kennen, sehen typische Behandlungsfälle und nehmen praktische Argumente für Patientinnen und Patienten mit. Außerdem haben Sie die Möglichkeit, Ihre individuellen Fragen direkt an unsere Referenten zu stellen.
Diese Themen sind drin im 60-Minuten-Webinar:
- Vorstellung aesthetic liner®:
kristallklare Zahnkorrekturschienen ohne Rillen - Einblicke in die Fertigung:
automatisiert mit modernster Co-Bot-Technik - Transparente Preisgestaltung:
drei Preispakete, die sich am individuellen Fall der Patientin oder des Patienten orientieren, inklusive Maximalpreisversprechen - Patientenkommunikation:
QR-Code zur 3D-Vorher-nachher-Ansicht mit Webviewer - Überzeugende Argumente:
Tipps, wie Sie Ihre Patientinnen und Patienten zielführend beraten können - Erklärung der Zusammenarbeit:
relevante Funktionen unseres Portals sowie der Ablauf im Überblick - Live-Q&A:
Stellen Sie Ihre individuellen Fragen direkt an die Referenten
Unsere Zahntechnikermeister Behrang Mehrkam (Klee-Labor) und Tarik Kolbasi (Selbach-Labor) kennen aesthetic liner® aus dem Effeff. Sie begleiten die Entwicklung seit Jahren und wissen genau, worauf es in der Praxis ankommt – von der Fertigung über den Workflow bis hin zur Patientenberatung.

